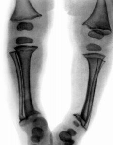
РахитизмОб этой заболевания знали ещё в  древней Европе. Приблизительно к 16 веку рахитизм стал довольно распространённой заболеванием посреди малышей.  Не случаем таланты тех пор (живописцы)  старались изобразить «суровую действительность», а конкретно таких малышей. Но эти времена прошли, неуж-то и в наше время случаются случаи существования таких малышей? И на данный момент это болезнь всераспространено, и вновь оно касается  категории «маленькие дети».  Что все-таки такое рахит?

Это нарушения, которые появились в организме малеханького ребёнка, они затронули нервную и костную системы. Это, во-1-х, а во вторых задели всех других органов и систем ребёнка. Мы на данный момент говорим о «настоящем рахите» либо человеке, который находится в зависимости от витамина D. Конкретно нехватка этого витамина приводит, к возникновению у малышей рахитизма. У пенсионеров она проявляется в виде остеопороза и остеомиляции.

Исходные проявления рахита связаны с разными видами психологических расстройств. Родителям стоит внимательней приглядеться к своим детям, и если он стал более раздражительным, повсевременно психует и рыдает без повода это определённый сигнал. После происходит частичное облысение ребёнка (затылочное). Существует четыре главные предпосылки, которые связаны с болезнью рахитом:

— световая причина. Которая содержит в себе климатические, сезонные и даже бытовые причины;

—  расположенность к заболеванию, «дети Африки» больше подвергаются подобного рода заболеваниям

— когда ребёнок рождается недоношенным;

— нарушение обменных процессов, связанных с образованием витамина D.

Как тогда проходит исцеление, пациента страдающего рахитизмом? Всё это находится в зависимости от степени тяжести заболевания, но при помощи препаратов группы D. Принципиально в этот период соблюдать все нужные предписания доктора: массаж, солнечные ванны, гимнастика, правильное питание. Приём  витамина D, приводит к тому, что в организме происходит накапливание  кальция, который необходимо куда-то выводить. Доктор выписывает цитратную смесь, благодаря которой происходит лучше всасывание.

На стадиях беременности «молодой мамочке» прописывают употребление витамина D, и различного диапазона препаратов.